Ваше здоровье в надежных руках профессионалов!
Клиника имплантации и эстетической стоматологии DENT ON6
Клиника Bursa DENT ON6 в районе Йылдырым к вашим услугам. Мы рядом с вами во всех вопросах имплантации, циркониевых коронок, ортодонтии и дизайна улыбки. Приглашаем вас обрести здоровую улыбку в нашей современной клинике. Свяжитесь с нами прямо сейчас для бесплатного осмотра и получения подробной информации.
ВАРИАНТЫ ЛЕЧЕНИЯ
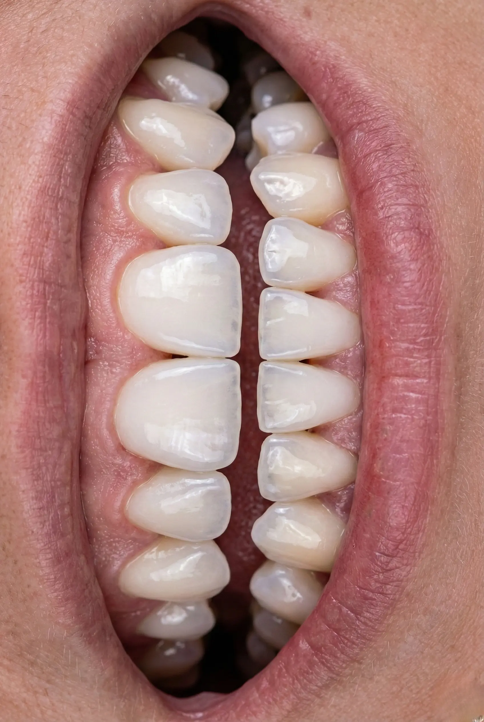
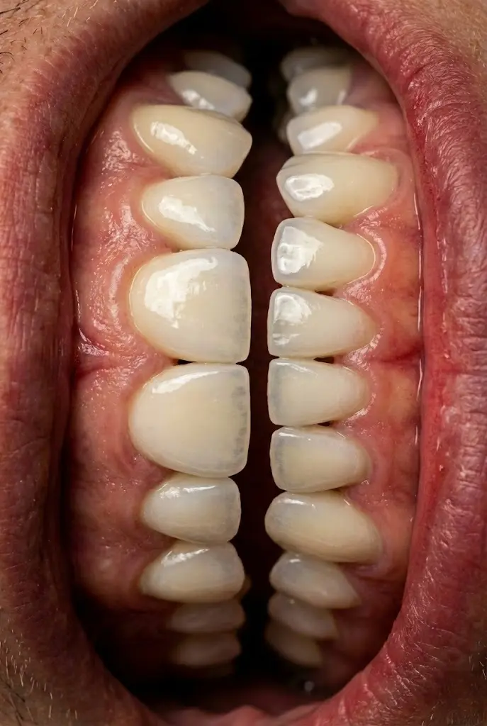
Циркониевые коронки
Эстетическая пломба
Цирконий + Передний имплант
Голливудская улыбка
Цифровая стоматология и комплексное лечение
Полный спектр стоматологических услуг
DENT ON6
Онлайн-запись
Запишем вас на прием всего за 2 минуты
- Бесплатный осмотр
- Прием в день обращения
Наша клиника
Как Частная клиника имплантации и эстетической стоматологии DENT ON6, мы предоставляем услуги в районе Сельчукбей (Йылдырым, Бурса) с нашей командой специалистов в области здоровья полости рта и зубов. Вместе с нашим опытным и доброжелательным персоналом мы используем современные технологии и новейшие методы лечения, чтобы обеспечить вам наилучший результат. Мы здесь, чтобы предложить вам самые современные решения в Бурсе в таких областях, как имплантация, эстетическая стоматология и дизайн улыбки.
Подробнее
Бесшовная имплантация
Познакомьтесь с технологией цифровой имплантации по хирургическому шаблону (Guide) в клинике Bursa Dent ON6. Обретите новые зубы без разрезов и швов, с максимальным комфортом и скоростью. Надежная и безболезненная процедура с быстрым периодом восстановления.
Записаться на прием
Врачи нашей клиники
'da yayınlandı Anastasia CherenkovaTrustindex, incelemenin orijinal kaynağının Google olduğunu doğrular. Хочу посоветовать всем эту клинику! Спасли 2 зуба, которые хотели удалять в России. Доктор, который лечит каналы профессионал. Действительно лучшая клиника в Бурсе!'da yayınlandı Mehtap TutkunTrustindex, incelemenin orijinal kaynağının Google olduğunu doğrular. En büyük hayalimi gerçekleştirmeme sebep ve yardımcı olan Yaren Üçüncü hocama çok teşekkür ediyorum zirkonyum kaplama yaptırdım çok memnun kaldım bire bir doğal diş görünüm verdi ve çokkk teşekkür ederim kesinlikle herkese tavsiye ediyorum..'da yayınlandı Melek ÇölTrustindex, incelemenin orijinal kaynağının Google olduğunu doğrular. Gerçekten çok memnun kaldık, Zarina hanım işinin ehli, sürecin başından itibaren çok sıcak kanlı,çok ilgiliydi. Eşimin dişlerine zirkonyum kaplama işlemi yapıldı ve süreç boyunca çok titizlikle çalıştı. Dişçi korkusu olan ya da iyi bir dişçi arayan herkes için tek doğru adres olarak önerebilirim, çok memnun ayrılacaksınız.'da yayınlandı Samet UlkuTrustindex, incelemenin orijinal kaynağının Google olduğunu doğrular. Tam donanımlı ağız ve diş sağlığı polikliniği. Çevremden bir çok kişiye tavsiye ettim kendim de geliyorum. Diş çekimi, 20lik diş çekimi, implant, diş temizleme vb işlemler yaptırdım çok memnun kaldım.'da yayınlandı Nataliya LukashevaTrustindex, incelemenin orijinal kaynağının Google olduğunu doğrular. We are from Canada and chose Özel Dent On6 after a friend had excellent results there. In May, I had 28 zirconium crowns placed, and my husband received zirconium crowns along with five dental implants. Dr. Zorina is truly exceptional—skilled, precise, and incredibly professional. The results exceeded our expectations. We returned six months later for the final stage of my husband’s treatment, and everything went perfectly. Zorina and her husband, Müslim, were extremely in helpful, kind, and supportive throughout the entire process, explaining each step and making our experience as international patients completely stress-free. Highly recommended.'da yayınlandı ÇİĞDEM FİLİZTrustindex, incelemenin orijinal kaynağının Google olduğunu doğrular. Bende eski diş protezlerimi değiştirmek ve ağrıyan dişlerimi tedavi ettirmek için çok doktor araştırdım .Google yorumlarından sonra Zarina hanıma gitmeye karar verdim iyikide öyle bir karar vermişim iki aylık tedavi sonucunda isteğim ağrısız Bembeyaz zirkonyum dişlerime kavuştum Zarina hanımın ilgi alaka ve samimiyetinden çok memnun kaldım kendilerine çok teşekkür ediyorum. Ayrıca hemşire ve danışmadaki güzelliklerede güler yüzlerinden dolayı çok çok teşekkür ederim'da yayınlandı Turkan DemirciTrustindex, incelemenin orijinal kaynağının Google olduğunu doğrular. Bana yapılan işlemler implant , zirkonyum kaplama, estetik dolgu, , dolgu, diş çekimi , diş temizleme yapılan tüm işlemlerden çokk memnun kaldım, ufacık bir problem bile yaşamadım. 2 yıldır tüm diş tedavilerim için gözüm kapalı gidiyorum ve herkese öneriyorum. Senelerce ,dişçiye korkudan gitme sonra zarina hanımla tanış ve korkudan eser kalmasın 😄 tüm çalışma arkadaşlarının ve doktorlarının güler yüzlü ve çok tatlı insan olmaları dışında işlerini de çok iyi yapması ile tüm aile fertlerinin diş kliniği oldu 🫶 kendilerine buradan da çok teşekkür ederim🌸'da yayınlandı Şeyhmus OralTrustindex, incelemenin orijinal kaynağının Google olduğunu doğrular. Cok ilgili ve güleryüzlü doktorları ile dent on6 hep iyi yerde olması dileğiyle teşekkür ederiz'da yayınlandı Nurgül KayaTrustindex, incelemenin orijinal kaynağının Google olduğunu doğrular. Dün gittim ınternetteki yorumlara göre şu an için ilgili ve alakalilar pazartesi islemlere başlayacagiz umarım her şey güzel geçerDoğrulayan: TrustindexTrustindex doğrulanmış rozeti, Güvenin Evrensel Sembolüdür. Sadece en iyi şirketler, 4.5 üzerinde bir değerlendirme puanına sahip olan doğrulanmış rozeti alabilir, son 12 ay içinde müşteri incelemelerine dayalı olarak. Daha fazla oku