Dolgu Olan Dişimin Kenarı Kırıldı: 5 Adımda Yapmanız Gerekenler
Dolgu Olan Dişimin Kenarı Neden Kırılır?
Dolgu olan dişin kenarı kırıldığında bunun arkasında genellikle belirgin ve önlenebilir nedenler yatar. Diş yapısı; mine, dentin ve pulpa katmanlarından oluşur — her katmanın farklı bir kırılganlığı vardır.
Dolgu kenarı kırılmasına yol açan başlıca faktörler.
Dolgunun Eskimesi
10–15 yılı aşan dolgular malzeme yorgunluğu nedeniyle kırılmaya eğilimlidir.
Sekonder Çürük
Dolgu kenarında oluşan çürük, dişin yapısını zayıflatarak kırığa zemin hazırlar.
Bruksizm
Gece diş gıcırdatma alışkanlığı, dolgulara aşırı kuvvet uygular.
Sert Gıdalar
Buz, kuruyemiş ve sert şekerler dolgu-diş arayüzeyini tahrip eder.
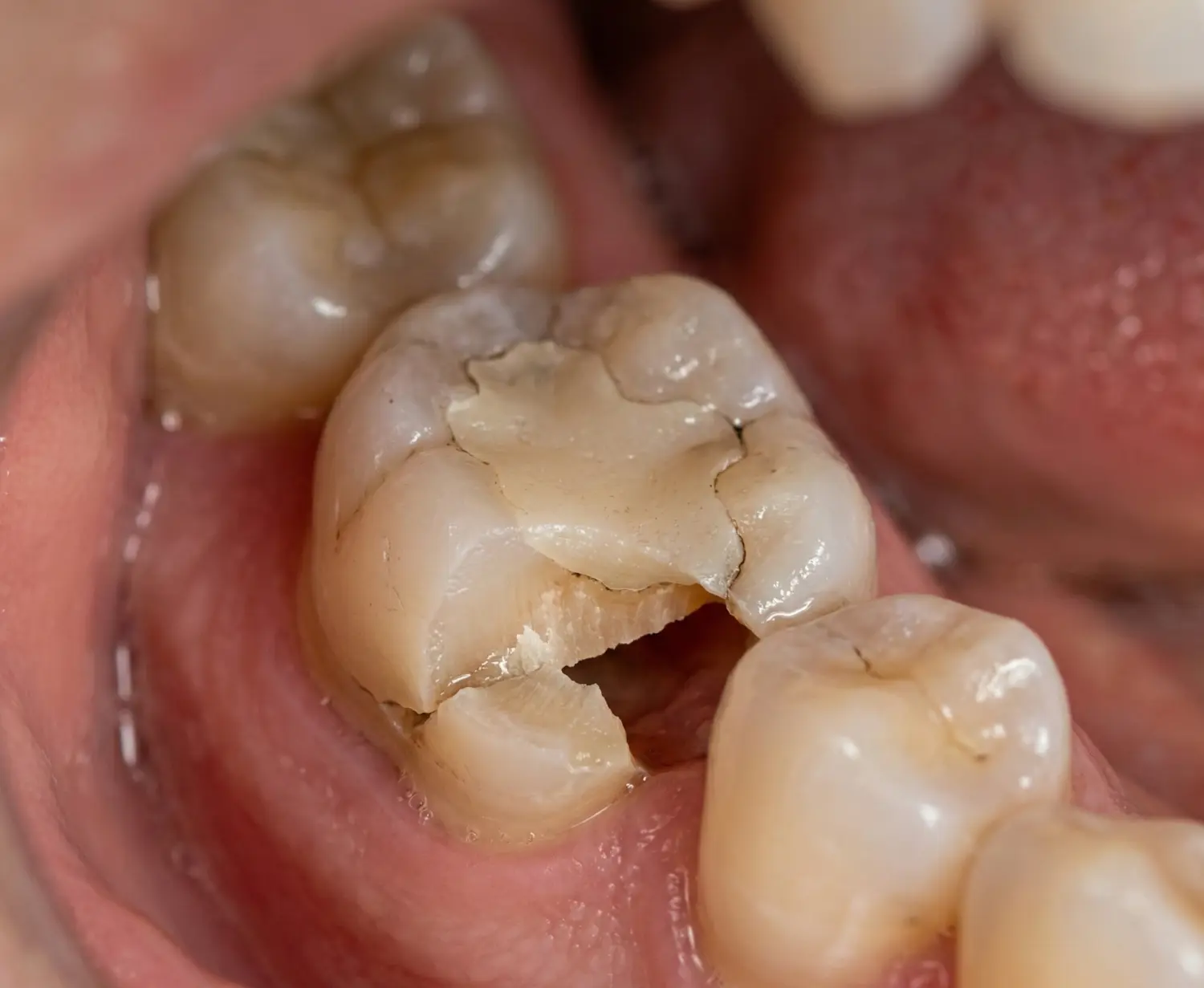
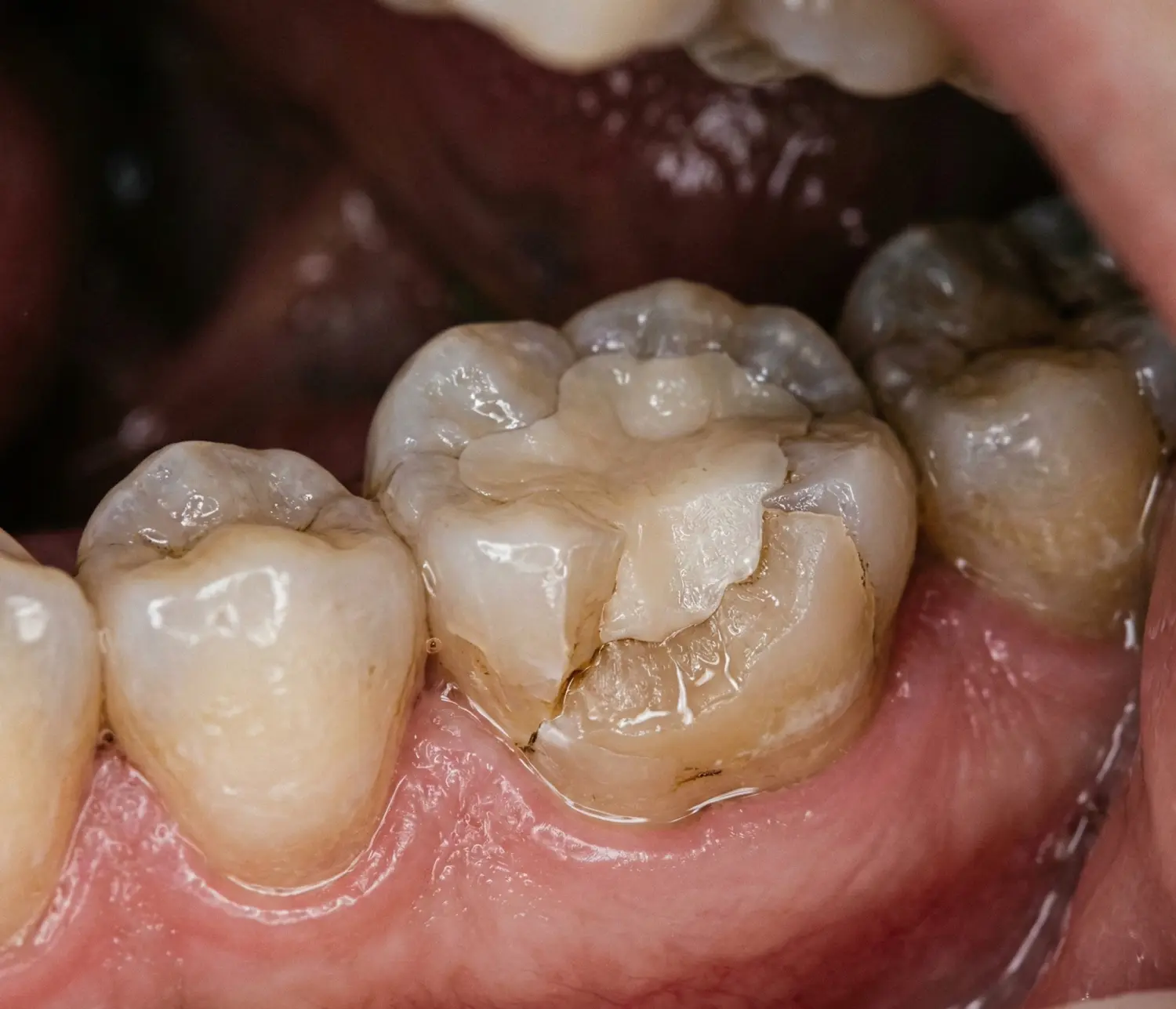
Dolgu Kenarı Kırılan Dişte Belirtiler
Dolgu olan dişin kenarı kırıldığında şu belirtilere dikkat edin:
Fiziksel Belirtiler
- Dilinizle hissedilen keskin veya pürüzlü kenar
- Sıcak, soğuk ve tatlıya karşı artmış hassasiyet
- Çiğneme sırasında ani ağrı
- Yanak veya dil iç yüzeyinde yaralar
Görsel Belirtiler
- Dolgu renginde kararmalar
- Görünür çatlak veya kırık hattı
- Dolgunun bir bölümünün ayrılmış olması
Dolgu Kenarı Kırıldığında 5 Adımda Yapmanız Gerekenler
Dolgu olan dişin kenarı kırıldı fark ettiğiniz anda şu adımları uygulayın:
Dolgu kenarı kırılan dişte izlenecek 5 temel adım.
Sakin Olun ve Ağzı Kontrol Edin
Kırığın boyutunu değerlendirin. Büyük bir parça koptuysa yutmamaya özen gösterin.
Ilık Tuzlu Su ile Çalkalayın
Yarım çay kaşığı tuz + ılık su karışımıyla ağzınızı nazikçe çalkalayın. Bakteri oluşumunu yavaşlatır.
Geçici Ağrı Önlemi Alın
İbuprofen veya parasetamol geçici rahatlama sağlayabilir. Bu, hekime gitmeyi ertelemek için gerekçe değildir.
Kırık Tarafa Yük Bindirmeyin
Sert, çıtır ve yapışkan gıdalardan uzak durun. Soğuk-sıcak içecekleri sınırlandırın.
En Kısa Sürede Diş Hekiminizi Arayın
Erken müdahale, dişin kurtarılma olasılığını önemli ölçüde artırır.
Dolgu Kenarı Kırılan Dişte Tedavi Seçenekleri
Tedavi; kırığın derinliğine ve dişin genel durumuna göre belirlenir. Dolgu olan dişin kenarı kırıldığında en sık başvurulan yöntemler şunlardır:
1. Dolgunun Yenilenmesi
Küçük kırıklarda eski dolgu uzaklaştırılarak kompozit veya seramik dolgu uygulanır. Hızlı ve ekonomik bir çözümdür.
2. İnlay / Onlay Uygulaması
Orta büyüklükteki kırıklarda, laboratuvarda özel hazırlanan inlay veya onlay restorasyonları uygulanır.
3. Zirkonyum Diş Kaplama
Kırık ileri düzeydeyse zirkonyum diş kaplama en uzun ömürlü ve estetik çözümü sunar. Metal içermez, alerjik reaksiyon oluşturmaz ve 15+ yıl dayanır.
4. Diş İmplantı
Dişin tamamen kaybedildiği durumlarda implant diş tedavisi en kalıcı seçenektir. Titanyum vida çene kemiğine sabitlenir; üstüne yerleştirilen kron doğal dişten ayırt edilemez.
Modern tedavi yöntemleri: zirkonyum kaplama ve implant uygulaması.
Hangi Tedavi Size Uygun?
| Kırık Durumu | Önerilen Tedavi | Süre |
|---|---|---|
| Küçük yüzey kırığı | Kompozit dolgu yenileme | 1 seans |
| Orta düzey kırık | İnlay / Onlay | 2 seans |
| Büyük kırık | Zirkonyum Kaplama | 2–3 seans |
| Diş kurtarılamaz | İmplant Tedavisi | 3–6 ay |
Dolgu Kenarı Kırılan Diş İçin Randevu Alın
Uzman kadromuz, dişinizin durumunu değerlendirerek en uygun tedavi planını sunar.
Randevu Al →Dolgu Kenarı Kırılan Dişi Önleme Yolları
Önleyici tedbirler hem mevcut dolgularınızı hem de doğal dişlerinizi korur.
Günlük Alışkanlıklar
- Günde iki kez yumuşak fırçayla diş fırçalayın.
- Florit içerikli diş macunu kullanarak mine direncini artırın.
- Diş ipi ile dolgu kenarlarında plak birikimini engelleyin.
- Buz, kalem ve tırnak gibi sert nesneleri ısırmayın.
Profesyonel Kontrol
NIH araştırmaları, düzenli 6 aylık kontrolün dolgu başarısızlıklarını önemli ölçüde azalttığını ortaya koymaktadır.
Bruksizm Durumunda
Gece diş gıcırdatıyorsanız diş hekiminizden gece plağı (oklüzal splint) talep edin. Bu aparey çiğneme kuvvetini dağıtarak dolgularınızı korur.
Sıkça Sorulan Sorular: Dolgu Kenarı Kırıldı
Diş Hekimi Zarina Musa
Protetik diş tedavileri, implantoloji ve estetik diş hekimliği alanlarında uzman olan Dr. Zarina Musa, hastalara en güncel ve kanıta dayalı tedavi protokollerini sunmayı ilke edinmektedir.